Schedule Your Complimentary Consultation.
Learn more about how Rana Facial Plastic Surgery can help you today.
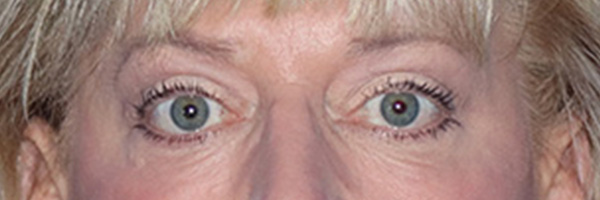
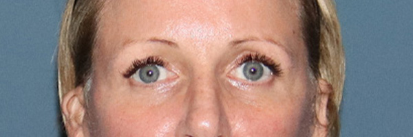
Contact UsPlease click on thumbnails for more images and information
© Rana Facial Plastic Surgery. All Rights Reserved. Web Design & Internet Marketing by Studio III