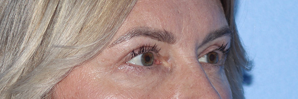
Patient received an upper blepharoplasty.
Learn more about how Rana Facial Plastic Surgery can help you today.
© Rana Facial Plastic Surgery. All Rights Reserved. Web Design & Internet Marketing by Studio III
Privacy Policy
469-885-8555