Schedule Your Complimentary Consultation.
Learn more about how Rana Facial Plastic Surgery can help you today.
Contact Us


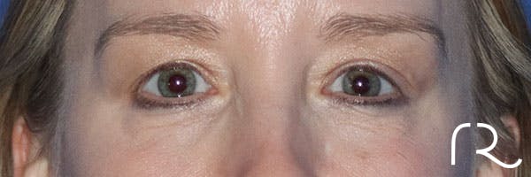
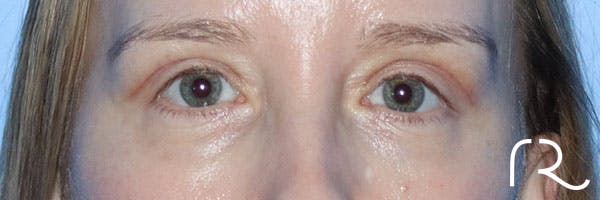
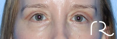
Patient complained of a recessed chin, saggy neck, hooded eyes and sagging face. Patient received the following: Mini Facelift, R2 Extended Deep Necklift, Upper Blepharoplasty, & Chin Augmentation
© Rana Facial Plastic Surgery. All Rights Reserved. Web Design & Internet Marketing by Studio III