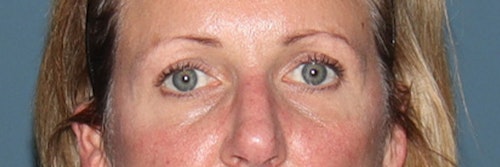
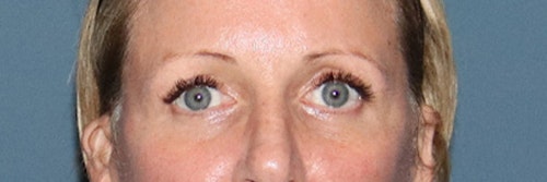
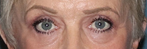
The eyes are commonly known as the Window to your Soul. It is your personality’s most attractive feature and a giant secret keeper of your age. Over time, our genetics and natural aging can lead to droopy, puffy, tired-looking eyes. These can communicate unwanted emotions such as tiredness or anger. Nik Rana, M.D. is a Double Board-Certified Facial Plastic Surgeon specializing in cosmetic eyelid surgery in McKinney and Frisco, TX.
Dr. Rana rejuvenates the face during this transformative plastic surgery procedure by contouring the eyes and restoring a refreshed, more awake appearance. Eyelid surgery helps patients look their best and feel more confident in their daily lives.









