Schedule Your Complimentary Consultation.
Learn more about how Rana Facial Plastic Surgery can help you today.
Contact Us








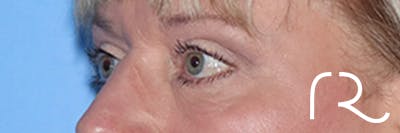
Patient received the following: Upper Blepharoplasty, Full Face CO2 Laser Resurfacing. Shown here 4 weeks after procedure.
© Rana Facial Plastic Surgery. All Rights Reserved. Web Design & Internet Marketing by Studio III